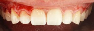
Fig15