Facetas Diretas em Resinas Composta

Marco Aurélio

ESTUDO DE CASO

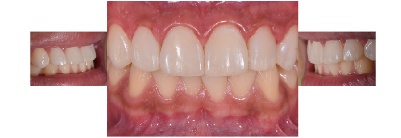
O Thiago é um paciente de 22 anos que queria melhorar o seu sorriso. Seu sorriso curto afectava a sua auto-estima quando ele sorria. (Fig 2). Ele chegou Apresentando desgate incisal com perda de guias, mordida de topo, sem perda de dimensão vertical.

DIAGNÓSTICO E TRATAMENTO

3- Não apresentava exposição dos bordos incisais, num sorriso leve dando aspecto de envelhecimento.

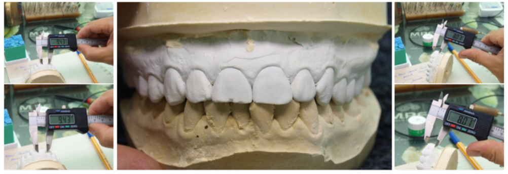
4- Após moldagem verificou-se que a largura era maior que a altura.

5- Sombreamento do enceramento, mostrando o quanto planejavamos aumentar a incisal.

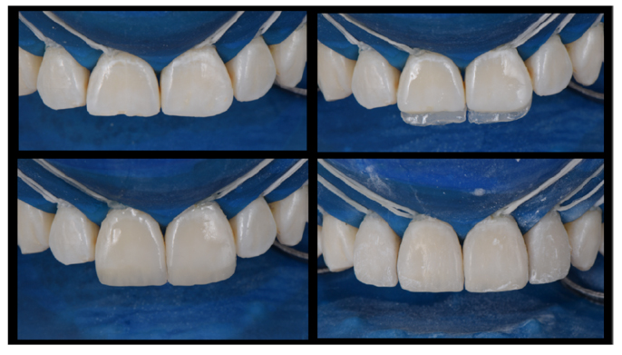
6- Foto inicial.

7- Após isolamento, confecção de facetas diretas em resina composta, duas a duas.

8- Sistema de alta performance utilizado dentina e esmalte DC1 e E2.

9- Devolução de guias.

10- Aspecto, trabalho finalizado.

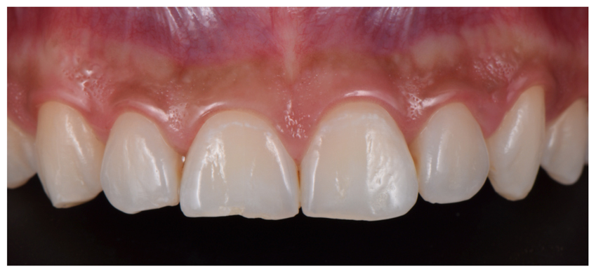
11- Foto final.

12- Foto com as resinas

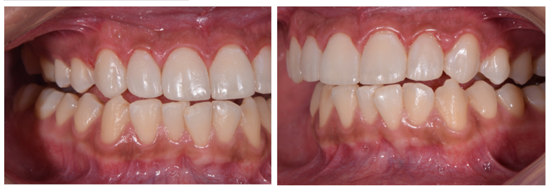
13- Antes

13- Depois