RESTAURAÇÃO DE DENTE DECÍDUO POSTERIOR COM CIMENTO DE IONÔMERO DE VIDRO MODIFICADO POR RESINA ENCAPSULADO

Autores: Pamella de Barros Motta, Camila Basílio, Sandra Kalil Bussadori

INTRODUÇÃO

Na odontopediatria as técnicas convencionais de restaurações com resina nem sempre são aplicadas com sucesso, principalmente devido à falta de colaboração do paciente. O isolamento absoluto bem como os passos de condicionamento ácido e adesivo, tornam-se inviáveis devido ao tempo de trabalho disponível com as crianças. Por esse motivo, o cimento de ionômero de vidro (CIV) modificado por resina, tem sido muitas vezes o material de escolha dos odontopediatras para o tratamento restaurador.1,2

O desenvolvimento dos cimentos de ionômero de vidro modificados por resina se deu com o intuito de resolver problemas que os ionômeros convencionais apresentavam como falta de estética, baixas propriedades mecânicas, sinérese-embebição.2

Dentre as muitas propriedades do cimento de ionômero de vidro modificados por resina, destacam-se boa adesão através de ligação química à estrutura dental, liberação de flúor e biocompatibilidade, além de apresentarem estética favorável.3,4

Atualmente é possível observar um grande crescimento de produção de materiais odontológicos encapsulados, os mesmos apresentam maior facilidade de manuseio e muito provavelmente menor desperdício de material. Estudos como o de Freitas et al. (2018) concluíram que os cimentos de ionômero de vidro encapsulados apresentam melhor performance quando comparados aos cimentos de ionômero de vidro aglutinados manualmente.5

Portanto, o objetivo do presente artigo é descrever um caso de restauração de dente decíduo posterior utilizando cimento de ionômero de vidro modificado por resina encapsulado.

RELATO DE CASO

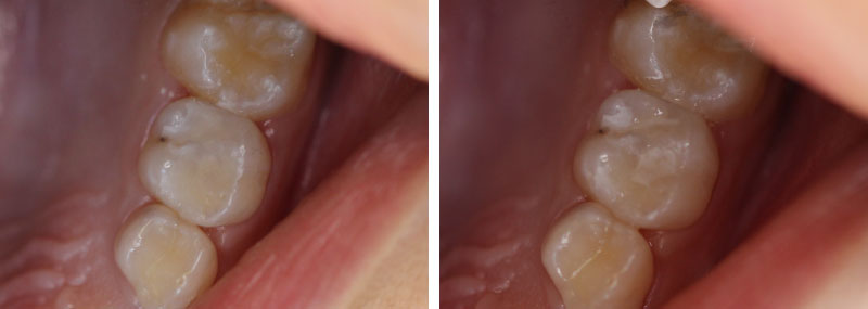
Paciente do sexo masculino, 7 anos de idade, compareceu ao consultório acompanhado pela mãe que se queixava de lesões de cárie nos dentes de seu filho. Após anamnese, exame clínico e radiográfico observou-se presença de lesão de cárie no elemento 65.

Para a resolução do caso foi proposta restauração com cimento de ionômero de vidro modificado por resina encapsulado (RIVA light cure cor A2).

Inicialmente realizou-se a profilaxia com o uso de pasta profilática e escova Robson. Em seguida realizou-se o acesso a cavidade com ponta diamantada esférica 1011 e então remoção seletiva do tecido cariado com o uso de cureta de dentina nº14. Foi realizado isolamento relativo com rolete de algodão. Aplicou-se Aplicação do Riva Conditioner por 10 segundos, logo procedeu-se a lavagem e remoção do excesso de água.

Realizou-se a ativação da cápsula pressionando o êmbolo e em seguida a mesma foi colocada no amalgamador para mistura.

Com o uso do aplicador de Riva, introduziu-se o material na cavidade, acomodando-o com o auxílio de uma espátula. Após a acomodação do material foi realizada fotopolimerização (Radii Plus) por 20 segundos. Foi realizada aplicação de Riva Coat e fotopolimerização por 20 segundos.

Ao final da restauração, realizou-se ajuste oclusal e acabamento com pontas de silicone.

DISCUSSÃO

Após a fase de adequação do meio bucal, está o tratamento restaurador, onde é preciso definir qual o melhor material a ser usado. Na odontopediatria, os cimentos de ionômero de vidro são amplamente empregados devido às suas características.3

Porém quando se compara o risco de falha de uma restauração, aquela realizada com os CIV convencionais apresenta um risco maior do que aquelas realizadas com os CIV modificados por resina ou com resinas compostas.6

Levando em consideração a superioridade mecânica dos CIV modificados por resina quando comparados aos CIV convencionais e a simplicidade da técnica quando comparados com a resina, é possível concluir o motivo do mesmo ser um dos principais materiais de escolha dos odontopediatras.6,7

 CONCLUSÃO

Ao final do tratamento foi possível observar técnica simples, realizada apenas com isolamento relativo que resultou em restauração satisfatória com boas propriedades mecânicas e estéticas.

Com isso, constata-se que os cimentos de ionômero de vidro encapsulados são uma boa opção para restaurações em dentes decíduos, devido à facilidade da técnica e resultado do tratamento.

 

REFERÊNCIAS

  1. KRAMER, Paulo Floriani et al. Grau de infiltração marginal de duas técnicas restauradoras com cimento de ionômero de vidro em molares decíduos: Estudo comparativo” in vitro. Journal of Applied Oral Science, v. 11, n. 2, p. 114-119, 2003.
  2. GUEDES-PINTO, Antonio Carlos et al. Odontopediatria. 2003.
  3. SILVA, Francisco Wanderley Garcia de Paula et al. Utilização do ionômero de vidro em odontopediatria. Odontologia Clínico-Científica (Online), v. 10, n. 1, p. 13-17, 2011.
  4. SILVA, Raphaela Juvenal da et al. Propriedades dos cimentos de ionômero de vidro: uma revisão sistemática. Odontologia Clínico-Científica (Online), v. 9, n. 2, p. 125-129, 2010.
  5. FREITAS, Maria Cristina Carvalho de Almendra et al. Randomized clinical trial of encapsulated and hand-mixed glass-ionomer ART restorations: one-year follow-up. Journal of Applied Oral Science, v. 26, 2018.
  6. PIRES, Carine Weber et al. Is there a best conventional material for restoring posterior primary teeth? A network meta-analysis. Brazilian oral research, v. 32, 2018.
  7. DERMATA, A. et al. Comparison of resin modified glass ionomer cement and composite resin in class II primary molar restorations: a 2-year parallel randomised clinical trial. European Archives of Paediatric Dentistry, v. 19, n. 6, p. 393-401, 2018.