A IMPORTÂNCIA DE UM PLANEJAMENTO MULTIDISCIPLINAR PARA ALCANÇAR O SUCESSO CLÍNICO.

Jhony Ross Alves Martins

jhonyross@hotmail.com

Graduando em Odontologia PUCPR
Mestrando em Odontologia PUCPR

Renato Voss Rosa

renatovossrosa@gmail.com

Graduado em Odontologia FO-UP
Mestrando em Odontologia pela UP
Especializando em Prótese FACSETE/PRIME CURITIBA
Professor do Curso de Especialização em Dentística Restauradora ABO-Ponta Grossa
Professor Coordenador do curso de aperfeiçoamento em Dentística Restauradora STUDIA Curitiba
Professor na Mazzter Odontolearning APCD – Piracicaba/SP
Professor na Mazzter Odontolearning – Vitória/ES
Mantém clínica de reabilitação estética em tempo integral
CRO:  PR-CD-29102

INTRODUÇÃO

O avanço tecnológico na ciência dos materiais em odontologia é uma realidade, hoje é possível trabalhar de acordo com procedimentos minimamente invasivos onde consegue-se resolver problemas estéticos sem desgastes dentários, ou muito discretos, além do mais com rapidez vertiginosa. Em 1955, Buonocore deu início a adesão com repercussão na estética odontológica quando sugeriu o tratamento ácido de superfícies dentárias,  proporcionando micro-retenções na superfície do esmalte dentário. A partir de então verificou-se um incessante progresso técnico científico, com simplificação de passos e alta eficiência, como pode ser verificado na composição dos compósitos. Hoje o desempenho clínico é considerado satisfatório para a maioria resinas compostas, de boa procedência, que competem no mercado. Algumas, em especial conseguem mimetizar cor, proporcionar sensação de profundidade e alto brilho superficial, como é o caso da resina microparticulada adotada nesse caso clínico.

CASO CLÍNICO

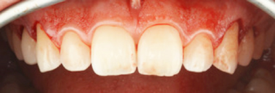
Paciente, J.D., maior de idade, procurou tratamento odontológico em busca de uma solução estética para a finalização de sua ortodontia. Na primeira consulta, ainda com aparelho ortodôntico (imagem 01 e 02), observou-se que sua oclusão estava adequada e que o momento era oportuno para estudo e planejamento do caso, então realizou-se as tomadas fotográficas iniciais.

O plano de tratamento sugerido constava de:

  • Clareamento dentário com técnica mista,
  • Cirurgia periodontal estética
  • Moldagem e obtenção de modelos articulados em asa
  • Enceramento de modelo
  • Confecção de barreira em silicone
  • Ensaio intra oral com resina bisacrylica
  • Procedimentos restauradores propriamente dito

Imagem 01 e 02: Foto frontal inicial.

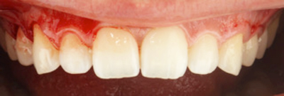
Após a retirada do aparelho ortodôntico (imagem 03), mas ainda na fase de contenção, inicia a clareação dentária em técnica mista (power bleaching associado ao  clareamento caseiro) por um período de 30 dias. Para o correto emprego da técnica fez-se a tomada de cor utilizando escala vita (imagem 04) para avaliar a progressão do caso pós tratamento. O clareamento em consultório foi realizado com peróxido de hidrogênio 37,5% Pola Office + da SDI (imagem 05) que possui em sua composição o nitrato de potássio, importante agente dessensibilizante que torna mais confortável o tratamento para o paciente, e sua ponteira automix, evitando assim desperdícios e erros por parte do operador na manipulação do material. Além disso, utilizou-se a barreira gengival da mesma empresa (Gingival Barrier – SDI) para proteção (imagem 06 e 07). Após a barreira realizada e fotopolimerizada, com a ponteira automix já instalada, iniciou a inserção do gel clareador sobre as faces vestibulares de primeiro pré-molar a primeiro pré-molar, de acordo com a necessidade do sorriso do paciente, deixando o produto agir por 30 minutos (imagem 08 e 09). Nessa mesma consulta o paciente recebeu sua moldeira individual superior e inferior fabricada em copolímero etileno/acetato de vinila (imagem 10), tomando por base o modelo em gesso feito a partir da moldagem em alginato do paciente, para o clareamento caseiro que foi realizado com peróxido de carbamida Pola Night da SDI (imagem 11). Foi realizado então a prova da moldeira para avaliar a questão da adaptação e presença, ou não, de áreas de isquemia em mucosa (imagem 12) e na sequência foi dada as devidas orientações ao paciente quanto a forma de uso e quantidade (imagem 13). Após um mês, tempo proposto para o tratamento clareador, o paciente retornou para prosseguirmos seu atendimento realizando a nova tomada de cor com escala vita (imagem 14).

Imagem 03: Foto frontal sem aparelho ortodôntico.

Imagem 04: Tomara de cor inicial com auxílio da escala VITA.

Imagem 05: Peróxido de Hidrogênio 37,5% Pola Office + da SDI

Imagem 06: Realização da proteção gengival com Gingival Barrier da SDI 

Imagem 07: Proteção gengival com Gingival Barrier da SDI

Imagem 08: Inserção do material clareador (Pola Office+ da SDI) sobre as faces vestibulares do dentes

Imagem 09: Foto de ambas as arcadas com o gel clareador já inserido 

Imagem 10: Moldeira superior e inferior para clareamento caseiro

Imagem 11: Peróxido de Carbamida Pola Night (SDI) usado no clareamento caseiro

Imagem 12: Prova da moldeira superior e inferior em boca para avaliar adaptação e presença de áreas de isquemia.

Imagem 13: Orientações ao paciente em relação a quantidade de gel usado no clareamento caseiro para cada dente.

Imagem 14: Tomada de cor com escala VITA após 1 mês de clareamento.

Aproveitando o período de “quarentena” necessário para procedimentos adesivos resinosos após o uso de agentes clareadores,  realizou-se cirurgia periodontal para melhoria da estética gengival na região de caninos e pré-molares superiores (imagem 15, 16 e 17). Em uma semana o paciente retornou para remoção da sutura.

Uma vez ocorrida a cicatrização, realizou-se moldagem das arcadas e procedeu-se ao enceramento sobre modelo, guia em silicone e mock’up. Feitos os ajustes intra-orais, confeccionou-se uma guia palatina com silicone de adição (DMG) para orientar o procedimento restauradores diretos em boca.

Para a realização dos procedimentos restauradores diretos com resina composta Aura Ultra Universal Restorative da SDI (imagem 18) selecionou-se a cor deste compósito fotoativando pequenos incrementos diretamente sobre o dente intocado, hidratado e sob luz natural.

Imagem 15: Cirurgia periodontal já realizada no lado direito e demarcado no lado esquerdo.

 

Imagem 16: Resultado imediato após a cirurgia periodontal.

 

Imagem 17: Foto frontal pós cirurgia periodontal com afastadores laterais.

 

Imagem 18: Escolha da cor sob luz natural e resina composta Aura da SDI posicionada no dente sem preparo químico prévio e fotopolimerizada para analisar a compatibilidade da cor escolhida.

 

Concluído o mapeamento de cores procedeu-se ao isolamento absoluto modificado utilizando lençol de borracha (Sanctuary) (imagem 19), com grampos posicionados em segundos pré-molares superiores, facilitando assim a visão geral dos dentes a serem trabalhados. Com o isolamento em posição provou-se a guia palatina quanto ao correto posicionamento e adaptação (imagem 20). Após profilaxia sob isolamento realizou-se o condicionamento do esmalte dentário com ácido fosfórico 37% durante 60 segundos (Super Etch – SDI), protegendo os dentes vizinhos com Isotape – TDV (imagem 21). Após a rinsagem, aplicou-se o sistema adesivo de dois passos (Stae-SDI) com emprego de micro-aplicadores (Points – SDI), (imagem 22).

Após a fotopolimerização iniciou-se a aposição dos incrementos de resina composta na cor E1 (Aura-SDI) na superfície palatina apoiada na matriz em silicone. Uma vez polimerizada este incremento demos início a construção do corpo da restauração e para isso optou-se por uma resina de dentina DC1 (Aura – SDI), uma resina que modula a translucides e permite esculpir a morfologia dos mamelões dentinários que causa grande efeito ótico para a mimetização do dente. Esta resina foi aposta no terço cervical da restauração em uma única camada e, manipulando com espátulas, definimos volumes para os terços dos dentes segundo a necessidade de maior ou menor opacidade (imagem 23 e 24). Ainda antes da foto-polimerização, com o emprego de sonda exploradora número 05 de ponta bem delicada, foi esculpido os mamelões próximo a borda incisal para criar as características de translucides deste terço do dente (imagem 25). Finalmente para criarmos a morfologia da superfície vestibular e acentuar os efeitos de luz e sombra aplicou-se uma camada de resina cor E1, que emula as características óticas do esmalte dentário e que, pela facilidade de esculpir-se com pincéis, proporcionando lisura superficial, sulcos suaves para enfatizar os mamelos, as áreas côncavas e convexas e, adicionalmente, definindo as áreas de espelhamento e áreas de fuga de luz, criando um jogo de claro escuro que é característico dos dentes naturais (imagem 26).

Imagem 19: Isolamento absoluto modificado com lençol de borracha (Sanctuary) com grampos em pré-molares.

Imagem 20: Prova da guia palatina em boca.

Imagem 21: Condicionamento do dente com ácido fosfórico 37% (Super Etch – SDI) isolando o dente com auxílio do Isotape (TDV).
Imagem 22: Aplicação do stae (SDI) com micro points (SDI) sobre a face vestibular condicionada com ácido fosfórico 37%.
Imagem 23: Construção da face palatina utilizando resina composta AURA E1 (SDI) e inserção de resina composta AURA DC1 (SDI) na cervical do dente em quantidade suficiente para descer uma camada única por toda a extensão necessária.
Imagem 24: Resina composta AURA DC1 (SDI) em camada única e lisa já garantindo anatomia ao dente.
Imagem 25: Confecção dos mamelões com sonda explorada n. 05 para efeito estético.
Imagem 26: Camada única de resina composta de esmalte AURA E1 (SDI) para finalizar.

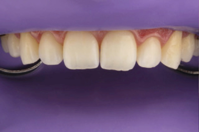
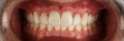
O dente  11 foi restaurado com as mesmas resinas seguindo o mesmo protocolo e, estando o arranjo satisfatório demos início aos procedimentos estéticos complementares nos incisivos laterais. Nestes dentes realizou-se, com pequenos acréscimos de resina composta, complementação na borda incisal para reduzir a percepção da mordida aberta anterior remanescente do tratamento ortodôntico. Para tanto utilizamos a mesma sequencia de resinas. Já nos caninos e pré-molares o acréscimo foi apenas vestibular para modificação de formato e principalmente eixo de dente, sem nenhum acréscimo incisal.Para o acabamento destas restaurações utilizou-se discos e brocas de ponta diamantadas f e ff, polimento usando borrachas espirais Swivel (Jota Do Brasil).Por fim, repetiu-se o protocolo fotográfico realizado na primeira consulta de planejamento para facilitar a comparação dos resultados obtidos com o tratamento. (imagem 27, 28, 29, 30 e 31).

Imagem 27: Foto frontal final com afastadores laterais.

Imagem 28: Foto frontal final destacando a melhoria na solução do aspecto de mordida aberta.

Imagem 29: Foto frontal com a resina composta AURA (SDI) utilizada no tratamento.
Imagem 30: Foto final do paciente.
Imagem 31: Fotografia para comparação do caso Inicial (esquerda) e final (direita).

 

CONCLUSÃO

Considerando-se que o tempo é um item valioso em nosso dia a dia, podermos contar com materiais que, com protocolos de poucos passos, resultam em restaurações de grande mimetismo e resistência ao uso, os materiais empregados neste procedimento se ajustam perfeitamente às necessidades do profissional moderno e atuante. Enquadra-se em um princípio minimalista, facilitador no cotidiano da profissão e atende as expectativas e exigências dos pacientes que buscam estética em odontologia.