COROAS TORAIS EM DENTES SEVERAMENTE ESCURECIDOS:
O passo a passo da rotina clínica.

Raphael Monte Alto

Mariana Marinho Osken

Durante a rotina clínica odontológica é muito comum encontrarmos casos de pacientes com dentes tratados endodonticamente que são severamente escurecidos, afetando prejudicialmente o sorriso do paciente.

O planejamento correto de um caso, principalmente em reabilitações estéticas de dentes anteriores, além de trazer o restabelecimento estético funcional, tem capacidade de trazer ao ao paciente o resgate de sua autoestima.

Para obter o sucesso em um tratamento estético, é indispensável a comunicação entre paciente e profissional, onde o profissional deve saber o que o paciente espera do tratamento.O planejamento prévio é fundamental a fim de que o sucesso seja alcançado.

Para um melhor acompanhamento e planejamento, fotografias são importantes e necessárias, assim como os modelos de estudo e enceramento diagnóstico, possibilitando assim que paciente e dentista, cheguem ao mesmo resultado e expectativa.

Este caso clínico tem como objetivo relatar um caso clínico de reabilitação estética com coroa total de zircônia dos incisivos centrais superiores com severa alteração de cor tratados endodonticamente.

 

RELATO DE CASO

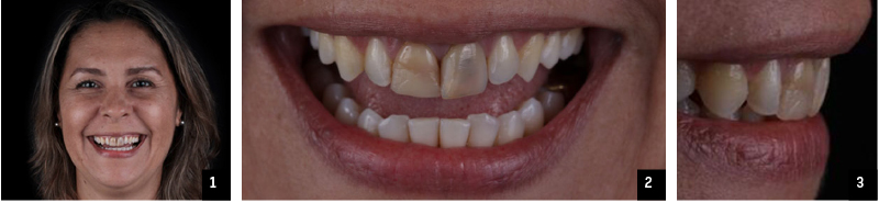
Paciente P.L.M, 47 anos, sexo feminino, procurou atendimento em consultório particular, apresentando um grande comprometimento estético dos incisivos centrais. Ao exame clínico e anamnese foi observado grande escurecimento dos elementos 11 e 21, com tratamento endodôntico adequado, e alteração de forma dos mesmos.

Foram realizadas fotografias para a seleção de cor e acompanhamento do caso. Diante destas informações, foi elaborado o plano de tratamento, onde foi planejado a colocação de pino de fibra de vidro e coroa em zircônia com cerâmica estratificada nos elementos 11 e 21.

Neste caso, foi decidido em realizar um acréscimo de resina sobres os dentes para simular o formato final ao invés de optar pelo enceramento diagnóstico em modelo. Essa reconstrução em resina serviu de referência para os preparos e futura restauração provisória.

Após os pinos cimentados foram realizados preparos para coroas totais devido aos elementos serem severamente escurecidos e apresentarem grande quantidade de resina na face palatina. Os preparos foram refinados e obtido um molde com silicone por adição e técnica do duplo fio. A cor do substrato foi selecionada e enviado ao laboratório junto com o molde e a copia do planejamento em resina feito em boca para referência do trabalho final.

Na consulta de cimentação, foi realizada a etapa de limpeza do dente preparado, utilizando pedra-pomes e água. Após a limpeza, realizou-se a prova das coroas totais cerâmicas,onde pôde-se conferir a adaptação marginal da coroa e particularidades estéticas, como textura da coroa, brilho e cor.  A face interna das coroas foi limpa com álcool. Para a cimentação das coroas totais 11 e 21 foi utilizado o cimento auto adesivo Set PP (SDI). Com a ponta de auto mistura o cimento foi aplicado no interior da peça protética o conjunto foi levado em boca, com uma leve pressão digital, aguarda-se o tempo de presa químico em torno de 1:30 a 2min, remove-se o excesso cervical e proximal e executada a uma fotopolimerização na face vestibular e palatina utilizando um foto de alta intensidade (Radi Plus – SDI).

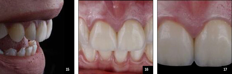
Nas sessões seguintes, as restaurações foram reavaliadas e as fotografias finais realizadas.

Foto 1, 2 e 3.  Fotografias  iniciais da paciente. É possível notar diferença na cor e formato dos elementos dentários, comprometendo a estética.
Foto 4. Vista aproximada dos incisivos centrais superiores onde é possível ver a grande quantidade de resina composta.
Foto 5. Seleção de cor inicial.

Foto 6. Preparo para coroa total dos elementos 11 e 21.

Foto 7 e 8. Preparo finalizado.
Foto 9. Moldagem pela técnica de dois passos.
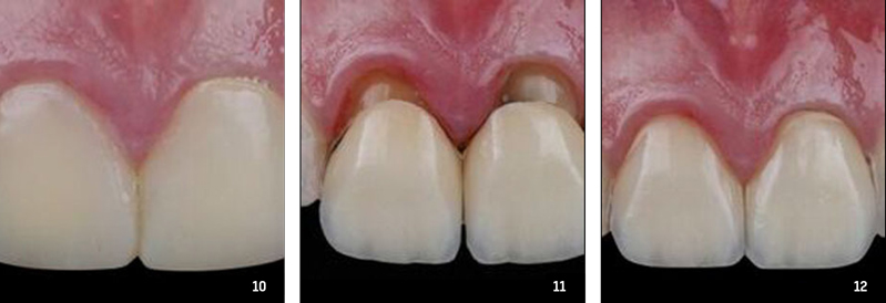
Foto 10. Restaurações provisórias.

Foto 11. Prova das coroas totais, verificando adaptação marginal, textura, cor, brilho.
Foto 12. Coroas totais adaptadas em boca.
Foto 13. Cimento auto adesivo utilizado no caso. Set pp (SDI)
Foto 14. Cimentação definitiva das coroas nos elementos 11 e 21.
Foto 15, 16 e 17. Aspecto final a restauração cimentada.
Fotos 18 a 22.  Fotos de face da paciente.