Brancos. Brilhantes. Você.

Preço especial!
Resina Luna por apenas R$ 39,90, entre em contato com a Dental de sua preferência e adquira a sua.
Resina nanohíbrida com alta resistência à compressão e baixa contração de polimerização.
Veja caso clinico:
Remodelação estética anterior: Fechamento de diastema com a resina Luna.

 

Remodelação estética anterior:

Fechamento de diastema

 

Autores:
Marco Aurélio Chaves
Daiana Arantes
Victor Muñoz
Isabel Barbosa

 

Mini Currículo

Marco Aurélio Chaves: Cirurgião-Dentista – UNIGRANRIO, Especialista em Dentística Restauradora – ABORJ, Especialista em Implantodontia – CLIVO Odontologia, Mestrando em Dentística Restauradora – São Leopoldo Mandic, Professor da Especialização em Dentística Estética – CLIVO Odontologia.

Daiana Arantes: Cirurgiã-Dentista – Universidade Gama Filho, Especialista em Endodontia – UFRJ, Especialista em Dentística Estética – CLIVO Odontologia.

Victor Muñoz: Cirurgião-Dentista – USMP (Perú), Especialista em Prótese Dentária – São Leopoldo Mandic, Mestre e Doutorando em Clínica Odontológica – área Prótese Dentária FOP-UNICAMP.

Isabel Barbosa: Cirurgiã-Dentista – UFRJ, Especialista em Dentística Estética – PUCRJ, Mestre e Doutoranda em Clínica Odontológica – área Dentística FOP-UNICAMP, Professora Substituta UFRJ, Professora Assistente UNIGRANRIO.

 

Introdução

Um sorriso harmônico é o desejo da maior parte de pacientes que assistem à consulta dental, tornando a manutenção da sua integridade bucal um grande desafio para o cirurgião-dentista. Muitas vezes a integridade bucal do paciente encontra-se alterada, principalmente por causa de fatores relacionados ao desenvolvimento, patologias dentais ou iatrogenias, os quais exigem do clínico dental a utilização de diversas técnicas para o seu restabelecimento.

Os diastemas são considerados pequenos espaços interdentários caracterizados pela ausência de ponto de contato proximal. O diastema interincisivo, é um dos comprometimentos estéticos mais frequentes encontrados na clínica diária, o qual pode ser ocasionado por diferentes motivos: maloclusão, discrepâncias no tamanho dos dentes ou doença periodontal, e sua incidência pode variar de acordo com a idade do paciente e fatores raciais.

Por um longo período de tempo, o tratamento mais previsível para conseguir resultados estéticos anteriores era a confecção de coroas totais; no entanto, apresentava grandes desvantagens como uma considerável perda de estrutura dentária sadia e possíveis efeitos adversos na polpa e tecido periodontal adjacente. Na atualidade, um dos tratamentos que visa restabelecer um sorriso harmônico nos pacientes é denominada técnica das facetas em resina composta, a qual consiste na substituição do esmalte dental, e muitas vezes também da dentina, por materiais de propriedades ópticas, mecânicas e biológicas semelhantes, restabelecendo a função e estética requeridas pelo paciente.

O fechamento de diastemas em resina composta é cada vez mais utilizado na prática clínica, por ser um dos tratamentos mais conservadores para casos em que se faz necessária a correção da forma, cor ou posicionamento das estruturas dentárias anteriores. Apesar de ser comum, ainda existem algumas dificuldades por parte do cirurgião-dentista para sua confecção pelo fato de se tratar de uma técnica que precisa de um protocolo estrito para seu sucesso clínico.

Pelos motivos supracitados, no presente caso clínico será descrito o passo a passo para realizar fechamento de diastemas e a correção de uma fratura incisal utilizando a técnica de facetas em resina composta, após a realização de plástica gengival e clareamento dental.

 

Descrição do Caso Clínico

Paciente do sexo feminino de 22 anos de idade, se apresentou à consulta referindo dentes amarelados e com um espaço no meio“. Após a elaboração da ficha de anamnese e avaliação pela equipe de trabalho, uma série de alterações foram encontradas, entre as principais: a presença de facetas de desgaste, falta de guia de canino nos movimentos de lateralidade, ausência do elemento 25, mordida aberta anterior e assimetria gengival anterior. Além disso, observou-se a principal queixa da paciente: a presença de um diastema interincisal com desvio da linha média dentária e uma alteração da cor dentária compatível com a cor DC4 na escala Aura.

Após a elaboração do diagnóstico da paciente, a equipe de trabalho confeccionou uma sequência clínica para a resolução do caso. Como em toda sequência de tratamento odontológico, a paciente passou por uma sessão de periodontia para realizar uma profilaxia inicial. Após adequação bucal, iniciamos o caso com a confecção de um enceramento diagnóstico para fazer uma avaliação do prognóstico final. Logo após aprovação do enceramento, foi realizada uma plástica gengival para remodelação do contorno gengival, melhorando assim a estética gengival.

Após o tempo de cicatrização gengival, a paciente foi instruída para realizar um clareamento dental combinado. Foi utilizada uma sessão de peróxido de hidrogênio 37,5% (Polaoffice Plus, SDI®) para o clareamento dental imediato e complementado com peróxido de carbamida 10% (Polanight 10%, SDI®) durante quatro semanas para o clareamento dental mediato.

A reconstrução com resina composta foi iniciada duas semanas após a última sessão de clareamento, eliminando dessa forma o oxigênio residual no esmalte, o qual prejudica a adesão na estrutura dentária. A escolha de cor foi realizada através da polimerização de pequenos incrementos na estrutura dental, sem o procedimento adesivo prévio. A resina de corpo foi selecionada pelo terço médio do incisivo central e a de esmalte pela parte cervical e incisal do mesmo elemento dentário.

Para o condicionamento dental foi utilizado ácido fosfórico 37% em gel (Super Etch, SDI®), e a adesão foi realizada utilizando o adesivo de dois passos (Stae, SDI®). A reconstrução com resina foi feita utilizando as cores I, OA2, e B1 (Luna, SDI®). Utilizou-se a técnica dos 4 passos para a confecção da incisal e da região do diastema. Em primeiro lugar, foi realizada a concha palatina com resina translúcida (B1) e auxílio da barreira de silicone, confeccionada a partir do enceramento. O corpo e os mamelos foram realizados com resina opaca A2 e a borda incisal com a resina I; enquanto para as cristas proximais e o recobrimento foi utilizada resina da cor B1. Após o término dos procedimentos restauradores, foi realizado o acabamento e polimento da restauração, dando brilho e naturalidade aos dentes.

Passo a Passo

Imagem 01 – Protocolo fotográfico inicial da paciente.

1A: Selamento labial

1B: Sorriso

1C: Sorriso forçado

1D: Boca entreaberta

Imagem 02 – Enceramento diagnóstico

Imagem 03 – Realização do recontorno gengival com bisturi elétrico.

3A: Planejamento do recontorno gengival

3B: Resultado imediatamente após cirurgia periodontal

Imagem 04 – Troca e ajuste das restaurações deficientes previamente ao tratamento clareador. Procedimento realizado para diminuir o risco de sensibilidade.

Imagem 05 – Seleção de cor através da polimerização de pequenos incrementos de resina previamente ao sistema adesivo.

Imagem 06 – Isolamento absoluto. Para um melhor afastamento dos tecidos moles e obtenção de um correto perfil de emergência do elemento dental, faz-se amarrações com o fio dental na cervical do dente para manter o mesmo em posição.

Imagem 07 – Condicionamento do dente por 20 segundos. Faz-se o condicionamento total do dente para evitar que a resina composta seja acomodada em áreas sem o condicionamento prévio. A proteção dos elementos adjacentes evita locais de excesso de união da resina.

Imagem 08

8A: Lavagem do gel de ácido fosfórico 37% pelo dobro do tempo de condicionamento (40 segundos)

8B: Secagem com jato de ar,
deixando o esmalte seco e opaco

Imagem 09 – Aplicação do sistema adesivo Stae com hastes flexíveis (Points) e fotopolimerização por 20 segundos com Radii Plus.

Imagem 10 – Confecção das resinas em 4 passos

10A: Concha palatina em resina translúcida Luna B1 e incisal com Luna I

10B: Mamelos e corpo em Luna OA2.

10C: Cristas proximais e recobrimento com Luna B1

Imagem 11 – Acabamento e polimento das restaurações.

11A: Broca 3195 FF para remoção dos excessos, e confecção das áreas de reflexão de luz

11B: Ajuste das interproximais com lâmina de bisturi nº12

11C: Pontas enhance para alisar pequenas irregularidades

11D: Feltro e pasta de polimento

11E: Disco Diamond Flex para brilho final

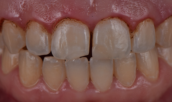
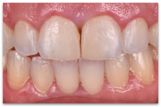
Imagem 12

12A: Foto inicial

12B: Foto final

Acesse o blog SDI Brasil e veja mais casos clinicos. http://sdibrasilblog.com.br/

SDI BRASIL INDUSTRIA E COMERCIO LTDA.
Rua Dr. Virgílio de Carvalho Pinto, 612
CEP 05415-020
São Paulo, SP, Brazil