PARALISAÇÃO DE LESÃO DE CÁRIE (MANCHA BRANCA) COM CARIOSTÁTICO RIVA STAR

Autores: Sandra Kalil Bussadori, Pamella de Barros Motta, Camila Basílio

INTRODUÇÃO

A cárie é uma doença caracterizada pela dissolução dos tecidos mineralizados do dente causada pela ação bacteriana na presença de carboidratos fermentáveis. É um processo dinâmico que apresenta fases de desmineralização e fases de remineralização.1,2

A doença cárie começa muito antes de haver uma lesão visível, portanto é muito importante diagnosticar o risco de cárie e intervir nas lesões iniciais, como lesões de macha branca.1,3

Comumente observa-se a evolução de lesões de mancha branca para lesões cavitadas, por isso, a preocupação com o controle dessas lesões iniciais se torna cada vez maior.

Os cariostáticos surgiram com a proposta de paralisar as lesões de cárie e diminuir a sensibilidade. O diamino fluoreto de prata é uma substância utilizada na odontologia para remineralizar tecidos dentários expostos a constante desafio cariogênico.4

Portanto, o objetivo do presente artigo é descrever um caso de paralisação de lesão de macha branca com o uso do cariostático Riva Star.

RELATO DE CASO

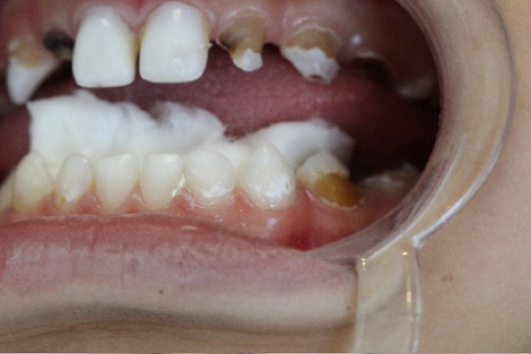
Paciente do sexo masculino, 7 anos de idade, compareceu ao consultório acompanhado pela mãe que se queixava de muitas lesões de cárie nos dentes de seu filho. Após anamnese, exame clínico observou-se presença de lesões de mancha branca nos elementos 72 e 73. (foto 1 e 2)

Para a resolução do caso foi proposta paralisação das lesões com Riva Star. (foto 3, 4 e 5)
Inicialmente realizou-se a profilaxia com o uso de pasta profilática (sem flúor) e escova Robson. (foto 6)
Em seguida realizou-se o isolamento relativo com rolete de algodão e secagem dos elementos com jato de ar. Foi realizada barreira gengival e fotopolimerização da mesma. (foto 7, 8 e 9)
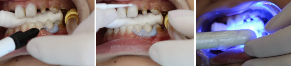
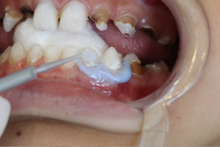
Perfurou-se a cápsula prateada com o microaplicador prateado com movimentos circulares, aplicou-se o produto sobre as lesões por 60 segundos. (foto 10, 11)
Logo após, perfurou-se a cápsula verde com o microaplicador verde com movimentos circulares e aplicado o produto em quantidade generosa, até que o produto esbranquiçado ficasse transparente. (foto 12, 13, 14)
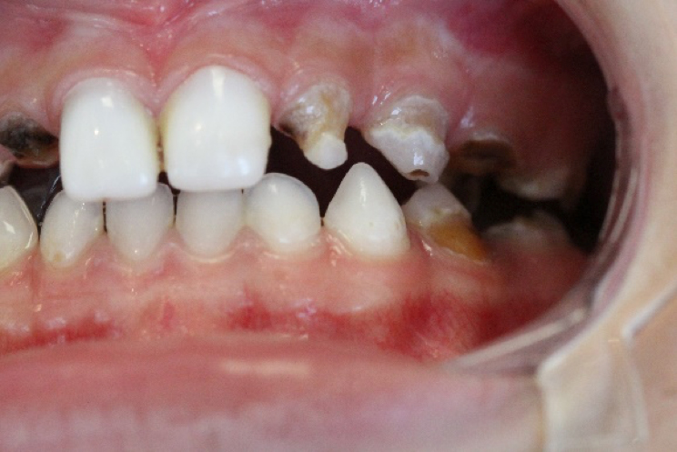
O paciente foi observado por 30 minutos após o procedimento, e os elementos não apresentaram nenhuma alteração de cor. Após 7 dias o paciente retornou para acompanhamento e novamente nenhuma alteração de cor foi observada. (foto 15)

DISCUSSÃO

Durante a fase de adequação do meio bucal está a fase de devolução de saúde, onde se prioriza a paralisação da atividade da doença cárie para que o paciente possa receber o tratamento restaurador com boas condições de saúde bucal e para que as lesões iniciais não evoluam para cavidades.

CONCLUSÃO

Ao final do tratamento foi possível observar técnica simples, realizada com isolamento relativo que resultou em paralisação de lesões de mancha branca, auxiliando o processo de devolução de saúde do paciente.

Com isso, foi possível contatar que o cariostático contendo fluoreto de prata mostrou-se uma boa opção no tratamento de lesões iniciais de cárie e no processo de adequação do meio bucal.

REFERÊNCIAS:

  1. MARINHO, VITOR ALEXANDRE; PEREIRA, GERALDO MAGELA. Revisão de literatura cárie: diagnóstico e plano de tratamento. Rev Univ Alfenas, v. 4, p. 27-37, 1998.
  2. PEIXOTO SOARES, Jainara Maria; GONDIM VALENÇA, Ana Maria. Avaliação Clínica do potencial terapêutico do Gel e Verniz Fluoretados na remineralização de lesões Cariosas incipientes. 2003.
  3. CURY, Jaime Aparecido; TENUTA, Livia Maria Andalo. Enamel remineralization: controlling the caries disease or treating early caries lesions?. Brazilian oral research, v. 23, p. 23-30, 2009.
  4. CHU, C. H.; LO, E. C. M. Promoting caries arrest in children with silver diamine fluoride: a review. Oral health & preventive dentistry, v. 6, n. 4, 2008.